치과소개

이숲치과소개

원래의 치아를 자연스럽게

안녕하세요.
성남시 중원구에 위치한 이숲치과입니다.
저희는 ‘자연치아를 최대한 살리는 치료’를 진료 철학으로 삼고 있습니다.
충치나 손상이 생겨도 최소한의 삭제와 정확한 진단으로
살릴 수 있는 치아는 끝까지 보존하고자 노력합니다.
하지만, 치아를 살릴 수 없는 경우엔
임플란트나 보철치료까지 세심하게 계획하여
자연치아와 가장 비슷한 기능과 심미성을 회복할 수 있도록 치료합니다.

E SOOP DENTAL CLINIC • E SOOP DENTAL CLINIC • E SOOP DENTAL CLINIC • E SOOP DENTAL CLINIC • E SOOP DENTAL CLINIC

이숲치과의 진료 원칙

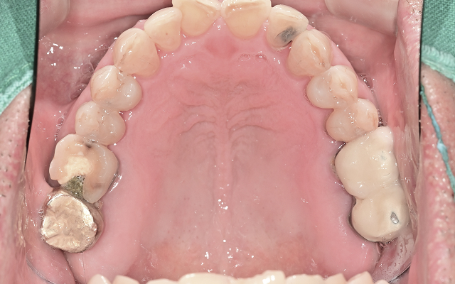
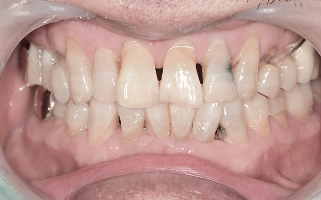
진료 전 구강 스캔과 구내 촬영을 통해
치아 상태를 꼼꼼하게 분석하고 설명드립니다.

  • 01

    정확한 진단과 눈높이에 맞춘 설명

    엑스레이, 구강 사진, CT 등을 통해 꼼꼼히 진단하고 촬영한 사진을 함께 보며 쉽게 이해하실 수 있도록 설명드립니다.

  • 02

    정직하고 따뜻한 진료

    과잉 진료 없이 꼭 필요한 만큼만, 충분한 상담과 대화를 통해 방향을 함께 정합니다.

  • 03

    디지털 장비 기반의 정밀 진료

    원내에서 구강 스캔·CAD 디자인·보철 제작까지 진행하며,
    정확한 맞춤 치료를 위해 항상 최신 장비로 진료합니다.

편안한 진료 공간

치과가 두려운 분들도 안심하고 방문하실 수 있는
따뜻한 분위기를 만들기 위해 노력합니다.
신뢰와 편안함, 그리고 정확한 진료이숲치과가 끝까지 지켜가겠습니다.

오시는 길

Operating Time

월·화·목요일
09:30-18:30
수·금요일
09:30-20:30 야간진료
토요일
09:30-13:30 점심시간 없이 진료
휴게시간
13:00-14:00
일요일·공휴일
휴진

Information

경기도 성남시 중원구 금빛로 43 5층

031-736-2879