임플란트

네비게이션 가이드 임플란트

오차 0.1mm까지 정밀하게

임플란트의 성공은 정확한 위치와 각도에서 시작됩니다.
이숲치과는 CT와 구강스캔 데이터를 기반으로 정밀한 3D 시뮬레이션을 통해 신경·혈관·골의 상태를 세밀하게 분석합니다.
네비게이션 가이드 임플란트는 수술 전 미리 계획된 위치에 따라 최소 절개로 진행되어 통증과 붓기를 줄이고, 회복 부담을 현저히 낮춥니다.

컴퓨터로 정확한 식립 위치 설계

CT와 구강스캔 데이터를 결합해, 신경·혈관·골의 두께까지 고려한 3D 시뮬레이션을 통해 최적의 식립 위치를 결정합니다.

원장이 직접 디자인·가이드 제작

모든 가이드를 원장이 직접 디자인하여 제작합니다. 단순 출력이 아닌, 임상의가 식립 각도와 깊이를 설계하는 과정이 포함되어야 의미가 있습니다.

수술 시간 단축 및 회복 부담 감소

정확한 계획에 따라 절개와 골삭제 범위가 최소화되어, 통증·붓기·출혈이 적고 회복이 빠릅니다.

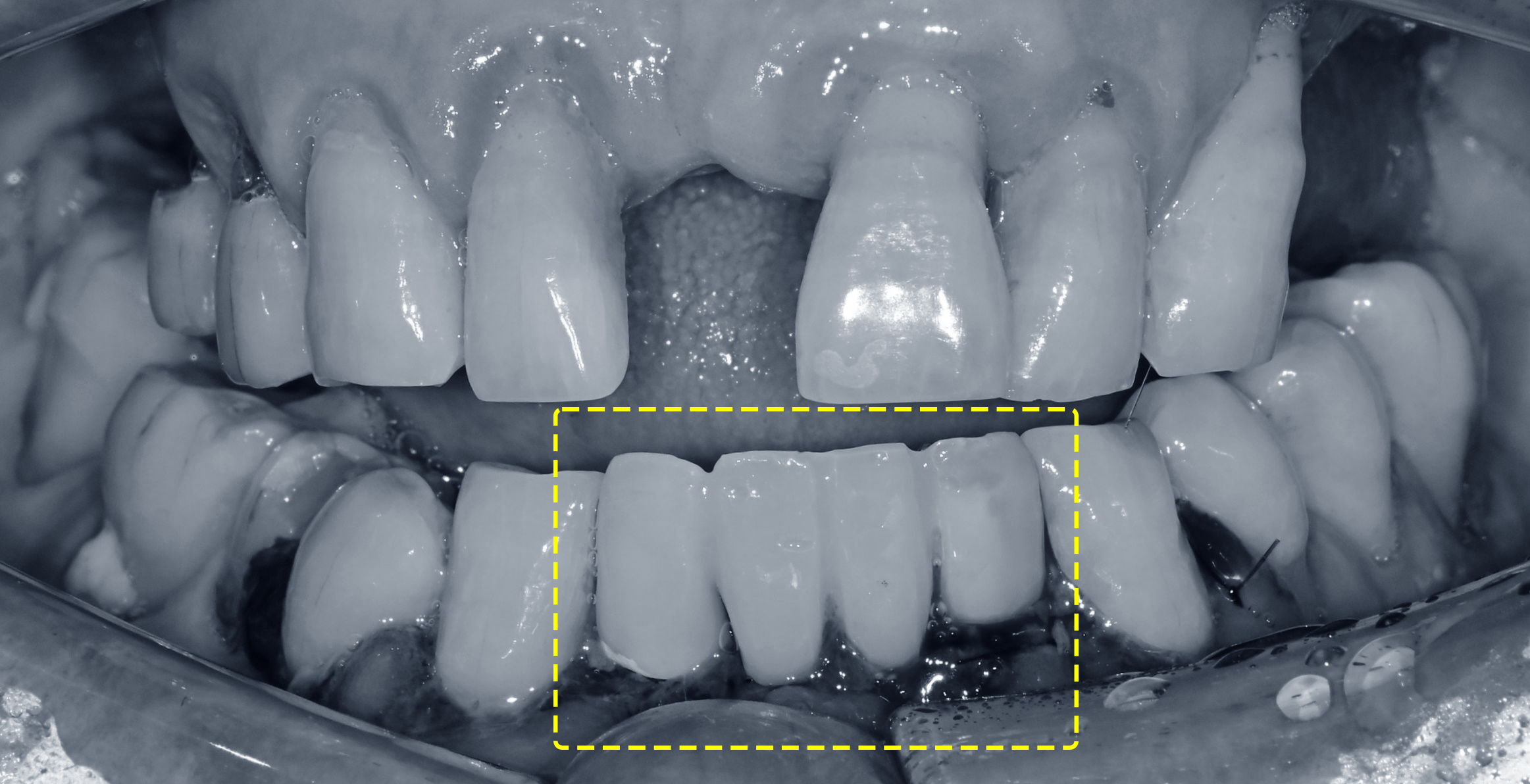
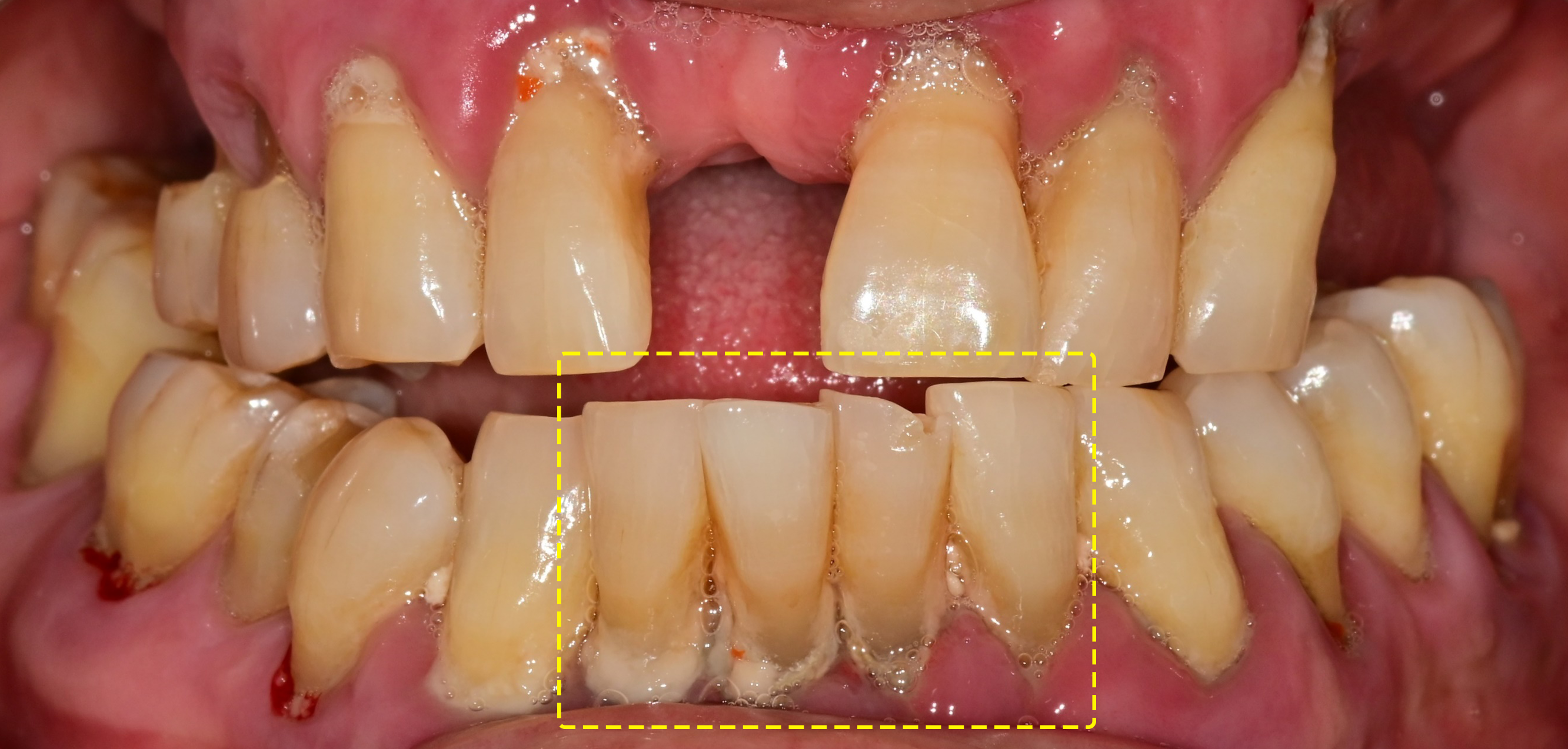
시술 과정

CT와 구강스캔 데이터를 결합해 수술 전 3D 시뮬레이션으로 식립 위치·각도·깊이를 정밀 계획합니다.
이 계획을 바탕으로 제작한 네비게이션 가이드로 최소 절개 수술을 진행하여 통증·붓기·출혈을 줄이고, 필요 시 임시치아까지 빠르게 장착합니다.

  • STEP 01

    수술부위

  • STEP 02

    수술부위 스캔하기

  • STEP 03

    임플란트 식립위치 결정

  • STEP 04

    네비게이션 가이드 제작

  • STEP 05

    임플란트 임시치아 제작

  • STEP 06

    네비게이션 가이드 출력

  • STEP 07

    임플란트 식립

  • STEP 08

    수술후임시치아 장착

E SOOP DENTAL CLINIC • E SOOP DENTAL CLINIC • E SOOP DENTAL CLINIC • E SOOP DENTAL CLINIC • E SOOP DENTAL CLINIC

오시는 길

Operating Time

월·화·목요일
09:30-18:30
수·금요일
09:30-20:30 야간진료
토요일
09:30-13:30 점심시간 없이 진료
휴게시간
13:00-14:00
일요일·공휴일
휴진

Information

경기도 성남시 중원구 금빛로 43 5층

031-736-2879